什么是囊肿性青春痘
来源:南昌中山皮肤病医院【专家在线咨询】

什么是囊肿性痤疮?对囊肿性痤疮的原因又了解多少呢?治疗痤疮必须要了解自己到底得的是什么类型的痤疮,这样才能对症下药。了解囊肿性痤疮的症状表现对我们治疗囊肿性痤疮非常有帮助。>>>想了解更多请点击与专家一对一交流<<<

什么是囊肿性痤疮
》》》描述不清楚,在线咨询专家了解囊肿型青春痘症状
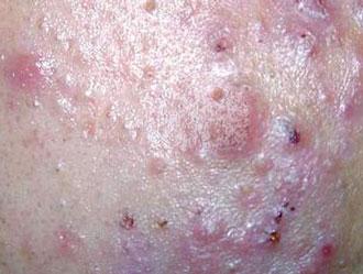
南昌中山皮肤病医院的专家表示:囊肿性痤疮多数发生于青少年时期前后,但也有发病较早的,和发病较晚的(如40岁以后)。 囊肿性痤疮主要有两种皮损:非炎症性皮损和炎症性皮损。
非炎症性皮损即粉刺。依据粉刺是否有开口,又分为黑头粉刺(开放性粉刺)和白头粉刺(闭合性粉刺)两种。炎症性皮损有多种表现:丘疹、脓疱、结节和囊肿。 皮损好发于面颊、额部和鼻唇沟。》》》点击咨询了解该技术详情
长期接触油脂、沥青等是囊肿性痤疮原因之一,囊肿性痤疮的原因还有接触某些化学物质、使用某些药物以及所有能增加皮肤炎症的因素,如酒精、辣椒等。但是也有很多因素是被夸大了甚至误解,其中主要的是。油脂性事物和糖类食品对本病一般没有什么影响。
温馨提醒:治疗皮肤疾病一定要及早到专业正规医院,切勿擅自用药或偏方,以免治疗不当加重病情。如有疑问或其它方面的问题,点击咨询在线专家。
【推荐疗法】“中药光动力机体疗法”轻松摆脱囊肿性痤疮让您更自信

中药光动力机体疗法治愈痤疮不再是梦
>>>该技术治疗青春痘对皮肤会不会伤皮肤?点击咨询在线专家
中药光动力机体疗法是运用三大痤疮治疗技术:动力红蓝光技术、中医药物蒸汽疗法、中药石膏倒膜疗法,中西药内调,达到细胞修复的功效。对各期各类型痤疮、痤疮印记、痤疮凹疤等均可进行全面系统立体化的分型诊疗,不同痤疮给出不同的个性化治疗方案,千疮千治,让痤疮患者在短期内即可实现彻底治愈的目的。
该疗法中西医结合,由内而外,双管其下,生物细胞高性能修复,可同时达到排毒,杀菌,抑菌、修复受损细胞、恢复皮肤生态平衡、去痘不留痕的多重功效,而且对痤疮各期,痤疮印记,痤疮凹疤均可进行全面系统的修复。经过近十年的临床实践与科学论证,众多患者在短期内实现了彻底根治的目的,治愈率高达97.3%。
阻断病灶:“中药光动力机体疗法”利用中西医的合理调配,深层清除体内湿、热、火、炎、毒,阻断痤疮发病根源。
内外兼治:中西医进行激素调整的过程中,结合中药倒膜和光动力理疗治疗系统综合作用下,对痤疮部位进行杀菌,加速局部微循环,达到排除体内毒素,恢复内分泌平衡。
光洁皮肤:“中药光动力机体疗法”能快速渗透,深层清洁,修复痤疮外部疤痕和痘印,清除色斑,修复疤痕,重塑光洁皮肤。
★南昌中山皮肤病医院365日无假日医院,收费合理价格公开透明;做到让每一位患者在医院就医时明明白白治病、放放心心治疗。中山皮肤病医院要求医生本着“花最少的钱,达到最好治疗效果”的原则,尤其为满足广大低收入人群的医疗保健需求,主动坚持平价收费,严格控制大处方、大检查,并数次降低大型诊疗项目的收费标准,努力打造“百姓放心的平价品牌医院”
什么是囊肿性痤疮?通过上述对囊肿性痤疮的介绍,对囊肿性痤疮的病症就有所了解了,南昌中山皮肤病医院的专家建议囊肿性痤疮要及时治疗,早日恢复平滑光洁的皮肤。
温馨提示:以上是南昌中山皮肤病医院关于:"什么是囊肿性痤疮?"的相关介绍,如遇青春痘的困扰,您可以点击在线咨询,免费咨询祛痘权威专家。
温馨提示:南昌中山皮肤病医院汇聚全国皮肤科名医,引进一流的诊疗设备,打造华东地区“专病、专医、专治”最专业的皮肤病诊疗基地。为了满足患者的就医需求,特开通了免费网上咨询与预约,更加方便快捷的为患者服务。网络全天候诊,网上挂号直接就诊,无需等候,为广大患者节省时间。
在线咨询预约就诊优势:
★在线免费咨询——权威皮肤病专家24小时在线一对一“问诊”
★提前预约挂号——免专家挂号费、免会诊费、优先就诊,轻松就医。
★假日专家门诊——方便患者休息日看病,不影响上班,提供更人性化服务。
医院电话:0791-88116677 接诊时间: 8:00-17:30(节假日不休)
QQ:77891588
医院地址:江西省南昌市西湖区站前西路49号、173号
乘车路线:乘坐5路、6路、18路内线、18路外线、26路内环、26路外环、206路、219路长班空调、221路空调、225路长班空调、 230路空调、233长班、233路、305路、305夜、310路、316路到市公交总公司下车即可。
自家车线路:江西省南昌市西湖区站前西路49号、173号即到。
- 上一篇:囊肿型青春痘
- 下一篇:专家为你介绍脓包性青春痘
- ★★★★★
- 5.0
- 5.0
- 5.0
- 我要评论








科室一览










