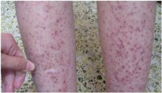
过敏性紫癜的症状分型    过敏性紫癜的症状分型 过敏性紫癜是一种较常见的微血管变态反应性出血性疾

告别皮炎湿疹,十年,终于睡了一

湿疹概述: 皮炎湿疹是一种过敏性皮肤病,发病部位常见于面部、耳后、四肢屈侧、乳房、手……【详情】

中山医院帮她摆脱16年“鱼儿身”

鱼鳞病概述: 鱼鳞病是一种遗传性角化障碍性皮肤病,其共同特点为四肢伸侧或躯干部发生很……【详情】

走出脱发阴影 重树生活信心

家住洛阳的曾艳还没到40岁,但是别人看起来却感觉50多了,因为头上稀疏的头发,让曾艳很自……【详情】

就诊指南
专家团队
  • 黄汉明
    职称:主任
    擅长:痤疮、色斑、湿疹、皮炎...点击咨询
  • 梁明成
    职称:主任
    擅长:白癜风、牛皮癣、脱发...点击咨询

医患问答

过敏性紫癜怎么治疗好?
过敏性紫癜怎么治疗好? 过敏性紫癜是一种较常见的微血……[详细]
过敏性紫癜的发病原因有什么
过敏性紫癜的发病原因有什么?南昌中山皮肤病医院 专家……[详细]
预防和护理过敏性紫癜性肾炎
如何预防和护理过敏性紫癜性肾炎呢? 这是很多人都很关……[详细]
怎样预防过敏性紫癜的发生
怎样预防过敏性紫癜的发生 ?过敏性紫癜又称紫癜,是……[详细]
在线挂号
患者姓名:
*
联系方式:
*
预约时间:
*
目前病情:
*
验证码:
看不清?点击更换 *
帮您提前预约专家
24小时在线服务
快速解决您的疑问