皮肤过敏的危害是什么?
来源:南昌中山皮肤病医院【专家在线咨询】

皮肤过敏的危害是什么?皮肤过敏让患者倍感烦恼,有过敏体质的人都有经历,在不经意间就有可能接触到过敏源引发过敏,过敏有轻有重,轻者几天就会消失,重者则可导致呼吸窒息。食物、药物、化妆品、环境都有可能成为过敏源。南昌皮肤病专科医院权威专家沈朝禄主任介绍,很多皮肤过敏患者都有滥用激素药的问题,长期滥用激素副作用非常大,容易形成激素依赖性皮炎,以及皮肤病慢性化发展。皮肤过敏的危害不容小觑,患者要慎用激素,科学治疗。
有疑问?看不明白?不想阅读文章?↓那就点击点击下面这张图片免费和专家交流吧
》》》推荐阅读:皮肤过敏有哪些不同的类型
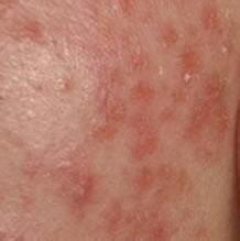
认识皮肤过敏的危害
很多人觉得皮肤过敏是小病,会自愈,没有什么了不起,需要重视的是,皮肤过敏在不能祛除过敏源的情况下,通常会反复发作,同时,皮肤过敏除了可出现皮肤瘙痒、风疹块等过敏症状外,在极罕见的情况下,皮肤过敏反应甚至可能会危及生命。皮肤过敏通常表现为皮炎、湿疹、荨麻疹等过敏性皮肤病。
常见几种过敏性皮肤病的危害
请点击免费咨询专家了解皮肤过敏的危害有哪些
荨麻疹的危害—— 发生荨麻疹时,皮肤上起风团、红斑,伴有剧烈瘙痒,也可以有腹痛、腹泻、恶心、呕吐等胃肠道症状,还可有呼吸困难伴发心慌、胸闷的感觉,一般不危及病人生命。但有两种情况会造成病人死亡;一是有急性荨麻疹引起呼吸道黏膜下水肿,使患者呼吸困难,严重者造成窒息,不及时救治可危及病人生命。另外就是急性大范围荨麻疹伴大汗脱水,病人呼吸困难伴发心慌、胸闷,出现过敏性休克症状,此时如不及时抢救,病人会因重要脏器供血不足、功能衰竭导致死亡。
湿疹的危害—— 湿疹是一种过敏性炎症性皮肤病,常反复发作,局部皮肤溃烂、感染并向周围蔓延,更严重的可有全身症状——败血症。湿疹可发生于任何年龄,任何部位,任何季节,但常在冬季复发或加剧有渗出倾向,慢性病程,易反复发作。皮炎湿疹常见于面部、耳后、四肢屈侧、乳房、手部、阴囊等处,对称分布。不但严重影响美观,而且瘙痒难耐,影响患者生活质量。
过敏性皮炎的危害——过敏性皮炎常见的有接触性皮炎、化妆品皮炎、日光性皮炎、神经性皮炎、脂溢性皮炎、激素依赖性皮炎等。皮炎最常见的瘙痒症状可让患者寝食难安,一旦加重,引起瘙痒难耐,皮肤抓破、红疹、渗液、糜烂,甚至导致皮肤坏死,对面容造成严重损害。 》》》》点击免费咨询在线专家,了解更多皮肤过敏的危害。
由此可见,皮肤过敏的危害还是很大的。所以治疗皮肤过敏刻不容缓,那么皮肤过敏都有哪些治疗方法呢?
乱用激素药治疗皮肤过敏危害大
沈朝禄介绍说,目前,皮肤过敏病人滥用激素药非常普遍,但激素类药物的副作用非常大。有些人不经医生诊断,稍有一些不适,就自选含有激素的药物内服或外涂,见效特别快,结果却诱发了令人烦恼的并发症,轻者皮肤赤红、触痛、瘙痒、裂口、脱屑,以致发生脓疱;久之可使皮肤变薄、脆弱、萎缩、毛细血管扩张、出现紫癜、真菌感染、痤疮样皮炎等;还可出现轻度多毛、多汗、皮下出血和伤口愈合困难等。
长期应用激素类药物,可出现向心性肥胖、满月脸、紫纹、皮肤变薄、肌无力、肌肉萎缩、浮肿、恶心、呕吐、痤疮等严重后果。因此,一定要慎用激素治疗皮肤病。那么怎样才能科学有效治疗皮肤过敏呢?
治疗皮肤过敏要多少费用?多久能彻底治愈?↓任何疑问您都可以点击下面这张图片咨询权威的在线专家
【皮肤过敏案例】
黄小姐今年27岁,海南人,几年前,脸部突然患有皮肤过敏,以为是简单的皮肤过敏,就没有太在意,到药店买了药膏涂抹,开始有点效果,到后来多次发 炎,再 涂抹药膏一点效果都没有,反而越来越严重了,到最后发展到脸部红肿,剧痒,特别怕热气,在空调下或者太阳底下,就会发作,脸又红又肿、发烫发痒。在患病的 几年里走了不少大小医院,基本都是使用激素药物控制,只要有一天不吃药,就会复发,折磨的精疲力尽。
后经过网上查询,她知道南昌中山皮肤病医院治疗皮肤过敏很有效果,便专程上门求医。经我院专家检查确诊为皮肤过敏后,采用本院专家组研发的“3T通调中西结合疗法”进行治疗。经过一个疗程的治疗,困扰黄小姐多年的皮肤过敏终于在南昌中山皮肤病医院彻底治愈了。
【推荐疗法】“3T通调疗法”有效治疗皮肤过敏,疗效持久
我的皮肤过敏能治好么?免费点击咨询在线专家
治疗皮肤病还是要选择专科医院,南昌中山皮肤病医院是南昌市一家“专病、专医、专治” 汇聚全国皮肤科名医的专业皮肤病诊疗基地。南昌中山皮肤病医院皮肤病专家组多年来一直致力于祖国中医药的实践和科学研究,专家组根据中医“病在肌肤,根在血液, 治血必治脏”的理论,对湿疹、皮炎、皮肤过敏反复发作、久治不愈的特点有了全新的认识,从调理脏腑、清除血毒、改善和改变患者的过敏体质着手,成功引进并 改进了“3T通调疗法”,在临床上采用分型诊治,对症用药,内外兼顾治疗皮肤过敏、皮炎、湿疹,并取得了重大突破。

我院治疗皮肤过敏引进的可调式中药熏蒸治疗仪
我的皮肤过敏能治好么?免费点击咨询在线专家
温馨提示:皮肤过敏给我们带来的危害日常生活中随处可见,发病的时候刺痒难耐,给我们的身体造成很大的负担。所以在皮肤发生过敏时,最好到专门医院治疗,千万不要掉以轻心或随意使用治疗皮肤的药膏,以免对身体造成更大的危害。
在线咨询预约就诊优势:
★在线免费咨询——权威皮肤病专家24小时在线一对一“问诊”
★提前预约挂号——免专家挂号费、免会诊费、优先就诊,轻松就医。
★假日专家门诊——方便患者休息日看病,不影响上班,提供更人性化服务。
医院电话:0791-88116677 接诊时间: 8:00-17:30(节假日不休)
QQ:77891588
医院地址:江西省南昌市西湖区站前西路49号、173号
乘车路线:乘坐5路、6路、18路内线、18路外线、26路内环、26路外环、206路、219路长班空调、221路空调、225路长班空调、 230路空调、233长班、233路、305路、305夜、310路、316路到市公交总公司下车即可。
自家车线路:江西省南昌市西湖区站前西路49号、173号即到。
- 上一篇:面部过敏性皮炎的危害
- 下一篇:皮肤过敏的危害?
- ★★★★★
- 5.0
- 5.0
- 5.0
- 我要评论









科室一览










