毛囊角化症
来源:南昌中山皮肤病医院【专家在线咨询】

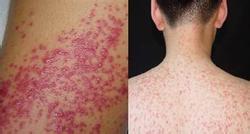
什么是毛囊角化症?特征性皮损为针尖至豌豆大的毛囊性坚硬丘疹,顶端覆以油腻性痂皮或糠状鳞屑,如将痂剥除,丘疹中央可见漏斗型小凹窝。初起丘疹呈皮肤色,渐增大融合成不规则疣状斑块,色棕黄、污黑或暗褐。常对称发生于面、胸、腹、四肢、骶部。躯干部损害以中线和腹部为多(图1),面部以颞、额、耳和鼻唇沟为多,四肢以屈面为多。位于四肢屈侧、腋下、股内侧等多汗、摩擦处的损害增殖尤其显著,常呈乳头瘤样,有脓性分泌物,散发恶臭。》》》何保持健康生活,呵护皮肤健康,点击免费咨询在线专家《《《
毛囊炎角化症有什么危害?
1、损害外观:毛囊炎发生于头、面、颈、四肢等多毛部位,初起为红色充实性丘疹,以后顶端迅速发展成丘疹性脓疮,继而干燥、结痂,痂脱不留痕迹。皮疹数目多,可分批出现,互不融合,有硬包。对患者的外观造成严重损害,自尊心受损。
2、瘙痒难受:毛囊炎的自觉症状瘙痒,头部毛囊炎会刺激发根引起剧烈疼痛,给患者带来生理上的折磨。
3、反复发作:形成慢性毛囊炎。
4、脱发:发生于头皮的毛囊炎可引起永久性脱发。
5、毛囊炎发生于项部:皮损呈乳头状增生或形成瘢痕硬节,不易治好。
【康复案例】
王先生,江西人,25岁。在南昌一汽车修理厂工作,在工作期间头上患有毛囊炎,而且一天比一天加重。头发因为毛囊炎加重的原因也是一天天的变少,王先生为此没少烦心,在药店买的药膏,喝中药,用老家的偏方,能用的他都用上了,可是最后结果叫王先生更加的伤心。以前帅帅的形象由于毛囊炎的捣鬼让王先生的自信一落千丈。在一次维修汽车的时候,他朋友告诉他南昌中山皮肤病医院治疗毛囊炎很厉害,还是中西医结合治疗,你可以去试试看。
2012年8月份的一天王先生来到了南昌中山皮肤病医院,接诊的是南昌中山皮肤病医院的我院专家,他给王先生检查确定是毛囊炎,接下来我院专家采用南昌中山皮肤病医院独创的“中西医结合平衡疗法”治疗王先生的毛囊炎,不到一周的时间就恢复的很好了,王先生的头发开始不掉了,慢慢的也长出来新的毛发,这叫王先生很高兴,带着自己的妻子来到南昌中山皮肤病医院给我院专家送的锦旗,并夸赞说:“南昌中山皮肤病医院的我院专家治疗毛囊炎真的很厉害”。
权威推荐:采用"中西医结合平衡疗法" 快速治疗毛囊炎角化症
率先采用以纳米微粒技术提取的药物浓缩生物因子,从毛囊角化病因着手,靶向性作用于病灶组织,使药物彻底渗透病灶组织并被高效吸收,阻断毛囊角化发病途 径,使之快速平衡毛囊角化激素,安全、有效地解决了毛囊角化疾病反复发作的医学难题,并且从体内调节神经与体液系统的功能活动,防止免疫系统功能紊乱,以期达到标本兼治的目的。
“中西医结合平衡疗法”在治疗毛囊角化疾病领域的特别之处
第一、见效快,患者用药数日即可见效。绝大多数患者可在较短的时间内得到有效控制。特别是对于那些毛囊并发症的患者,可以在更短的时间内观察到效果。
第二、无毒副作用。该疗法取天然名贵中草药,无毒副作用,不会对机体造成任何损伤,同时,还可以最大限度地减少或抵消其他辅助药物的副作用,改善机体免疫系统,提高机体抵抗力,保肝护肝的作用,可以放心服用。
第三、治愈率高。经过数十年的不断探索和研究,该疗法用于治疗各种毛囊角化疾病,取得了突破性的进展。很多用传统方法不能治疗的或者疗效不满意的患者,经过“中西医结合平衡疗法”的治疗,均取得了非常满意的效果。
毛囊角化治愈后,首先皮肤上的丘疹,脓疱会消退,感觉不疼,不痒,跟正常皮肤一样或者是因挠抓遗留下一些色素沉着。但是毛囊角化患者的自身体质相对较差, 因此治好后还需注意避免吃辛辣刺激性食物,注意皮肤清洁卫生,避免挠抓刺激皮肤,锻炼身体提高自身抵抗力,预防毛囊角化复发。
南昌中山皮肤病医院作为一家毛囊角化病治疗的医院,采用"中西医结合平衡疗法"的综合性治疗方法,对于毛周角化症及各种皮肤疾病,治好率达95。5%以上,是目前治疗毛周角化症的首选疗法。对于角化症及各种皮肤疾病,治好率达95。5%以上,无任何毒副作用,同时可将患部色素分解排出,恢复正常肤色。
想了解的更加详细,请点击在线咨询
南昌中山皮肤病医院是全国十佳皮肤病医院,南昌市重点皮肤病诊疗中心,多次受到南昌市卫生局等相关部门的嘉奖和鼓励,并获得许多的荣誉称号!
脸上长疙瘩该怎么办?上述已为大家介绍,更多关于脸上长疙瘩问题,请在线咨询南昌中山皮肤病医院专家,专家为您详细解答。南昌中山皮肤病医院一直秉承着“一切以患者为中心”的服务理念,导医全程免费陪同,开通绿色服务通道,为患者营造一个家庭式的诊疗环境和场所,打造一流的服务态度和服务质量,看病全程优质服务,让患者倍感家庭的舒适和温馨,让很多前来就诊过的患者都交口称赞。
温馨提示:南昌中山皮肤病医院汇聚全国皮肤科名医,引进一流的诊疗设备,打造华东地区“专病、专医、专治”最专业的皮肤病诊疗基地。为了满足患者的就医需求,特开通了免费网上咨询与预约,更加方便快捷的为患者服务。网络全天候诊,网上挂号直接就诊,无需等候,为广大患者节省时间。
在线咨询预约就诊优势:
★在线免费咨询——权威皮肤病专家24小时在线一对一“问诊”
★提前预约挂号——免专家挂号费、免会诊费、优先就诊,轻松就医。
★假日专家门诊——方便患者休息日看病,不影响上班,提供更人性化服务。
医院电话:0791-88116677 接诊时间: 8:00-17:30(节假日不休)
: QQ:77891588
医院地址:江西省南昌市西湖区站前西路49号、173号
乘车路线:乘坐5路、6路、18路内线、18路外线、26路内环、26路外环、206路、219路长班空调、221路空调、225路长班空调、 230路空调、233长班、233路、305路、305夜、310路、316路到市公交总公司下车即可。
自家车线路:江西省南昌市西湖区站前西路49号、173号即到。
- 上一篇:毛囊炎危害是巨大的
- 下一篇:没有了
- ★★★★★
- 5.0
- 5.0
- 5.0
- 我要评论















科室一览










