疥疮怎么得的
来源:南昌中山皮肤病医院【专家在线咨询】

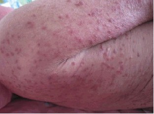
疥疮是怎么得的?多数患者的疥疮都是被传染的。疥疮主要通过直接或间接接触传播,疥虫特别喜欢在夜间活动,夜间爬到皮肤表皮上交配,然后钻到皮肤隧道里繁殖,此时传播的机会最多。 >>欢迎您点击在线免费咨询<<

南昌中山皮肤病医院专家告诉你疥疮是怎么得的——疥疮的传播途径:性伴侣间的同床睡觉及性行为更容易相互传染。世界卫生组织将疥疮列为性传播疾病之一。疥疮感染以后,全身皮肤可出现小的丘疱疹或红斑,特别是在指缝、腋窝、腹股沟、外生殖器、臀部等皮肤比较薄嫩处多见,小孩可发生在头面部。疥疮是通过密切接触传播的疾病,并且疥疮的传染性很强,无性别和年龄差异,在家庭或集体宿舍中往往相互传染。
如果直接与疥疮病人或携带有疥虫的动物接触以后就会感染疥疮。一般家里或单位、宿舍有疥疮病人以后,其他人都很可能会感染该病,其传播性极强,感染人群极广,大人、小孩、孕妇、婴儿都能够感染疥疮,各个行业都能够引起疥疮的传播,医生、护士、老师、学生、工人、公务员等,我国解放以前疥疮多发生在生活条件较差的农村,但是现在在城市也有通常。
疥疮怎么得的?间接感染是疥疮的第一传播途径。通过间接接触到疥疮病人的衣物、用品、病人接触到的家具、物品等被感染,关于疥疮怎么得的,有报道称,疥疮病人拿的钱被其他人接触都会感染疥疮,坐公交车疥疮病人抓过的扶手其他人接触都会被感染,但是也有与疥疮病人生活在一起而没有发作的现象,所以疥疮的感染和人体的自身免疫力有很大的联系。疥疮病人发作多发生在自身免疫力降低的情况下。
南昌疥疮医院温馨提示:患上皮肤病后,患者一定要选择正规的医院进行治疗,不要盲目听信广告,也不能滥用治疗方法,要针对自身的症状及所属的类型选择合适正规的治疗方法进行治疗。更多详细信息,欢迎随时点击我们的在线专家!
医院电话:0791-88116677 QQ:77891588 门诊时间: 8:00-17:30(节假日不休)
医院地址:江西省南昌市西湖区站前西路49号、173号
乘车路线:乘坐5路、6路、18路内线、18路外线、26路内环、26路外环、206路、219路长班空调、221路空调、225路长班空调、 230路空调、233长班、233路、305路、305夜、310路、316路到市公交总公司下车即可。
- 上一篇:阴毛囊炎症状是什么?
- 下一篇:疥疮
- ★★★★★
- 5.0
- 5.0
- 5.0
- 我要评论






科室一览










