风疸与荨麻疹的区别
来源:南昌中山皮肤病医院【专家在线咨询】

风疸与荨麻疹的区别。风疸也是一种非常常见的皮肤疾病,其发病特点与荨麻疹有相似之处,发病突然,随后会自行消退。一日一次或一次多次反复发作。因此,在对待皮肤长风团的疾病时,需要区分风疸与荨麻疹。
风疸与荨麻疹在发病的类别是虽然两者都属于皮肤病。但是相对而言两者之间还是存在一些差别的。二者在病情上,症状上以及治疗上都是不一样的。
大家对风疸还是挺陌生的,那么我们从中医辨证法上给大家解释一些什么是风疸?风疸它是黄病之一。风疸,小便或黄或白,洒洒寒热,好卧不欲动。也有人认为:风疸者,由民风正在于腑净,取热气相搏,便发于黄,小便或赤或黄,好卧而心振,面虚黑。如兼见身黄,小便赤涩,宜牛黄散。如净腑风热相搏,心神不安,多卧少起,小便赤涩,宜犀角散。
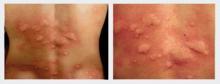
荨麻疹俗称风团、风疹团、风疙瘩、风疹块。它是一类常见的皮肤病。由各种因素以致皮肤粘膜血管产生临时性炎性充血取大量液体渗出。构成局部水肿性的损害。其迅速产生取衰退、无剧痒。可无发热、腹痛、腹泻或其他全身症状。可分为急性荨麻疹、慢性荨麻疹、血管神经性水肿取丘荨麻疹疹状荨麻疹等。这就是风疸与荨麻疹的区别。
然后,二者在治疗上也是有区别的。不能等同的两者的治疗明显是不一样的,前者是抗病毒治疗,后者是抗过敏治疗,所以还是不一样的。>>>详情请咨询在线专家<<<
南昌中山皮肤病医院“3T通调疗法”标本兼治各种荨麻疹。
“3T通调疗法”根据中医“病在肌肤,根在血液,治血必治脏”的理论,采用医外治法(穴位介入、净血疗法)、免疫调节系统和中药熏蒸法完美融合的中医治疗理念,采用现代生物工程技术与中医的草本化和西医的现代化联合应用。针对各种不同原因所致的皮炎、湿疹、荨麻疹,采用个性化临床治疗方案,可以彻底治疗各种皮炎、湿疹、荨麻疹。
风疸与荨麻疹的区别就为大家介绍到这里,希望能够帮助到大家更准确的认识风疸和荨麻疹这两种常见皮肤疾病。如果您还有不明白的地方,欢迎致电我院免费咨询热线0791-88116677。祝您健康!
接诊时间: 8:00-17:30(节假日不休) 咨询Q Q:77891588
医院地址:江西省南昌市西湖区站前西路49号、173号
乘车路线:乘坐5路、6路、18路内线、18路外线、26路内环、26路外环、206路、219路长班空调、221路空调、225路长班空调、 230路空调、233长班、233路、305路、305夜、310路、316路到市公交总公司下车即可。
- 上一篇:病毒性荨麻疹可引发严重并发症
- 下一篇:临床上小儿荨麻疹的几项特点
- ★★★★★
- 5.0
- 5.0
- 5.0
- 我要评论






科室一览










