什么是疥疮
来源:南昌中山皮肤病医院【专家在线咨询】

疥疮是由于疥虫(疥螨)感染皮肤(挖掘隧道的机械伤害及其分泌毒汁的刺激)引起的皮肤病,它是可以通过性传播的,尤其在青年男女性乱者中,本病传播迅速,故本病已经被世界卫生组织列入性传播性疾病之中。 >>欢迎您点击在线免费咨询<<

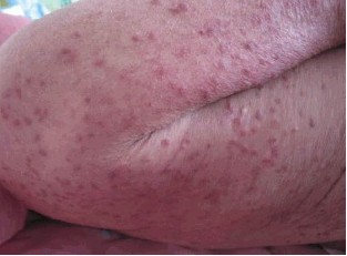
疥疮常常表现为面部以下的全身出现米粒大小的丘疹,丘疹一般白天不痒,而集中表现在晚上瘙痒难忍——这主要是由于疥螨习惯于晚上从皮肤中的“隧道”中爬出来产卵而导致的。疥疮的最最典型的确诊依据是男性的阴囊上出现多少不一的黄豆大小的“疥疮结节”,所有有同居史的人共同发玻
疥疮的传染性很强,在一家人或集体宿舍中往往相互传染。疥虫离开人体能存活2~3天,因此,使用病人用过的服、被褥、鞋袜、帽子、枕巾也可间接传染。性生活无疑是传染的一个主要的途径。
疥虫是一种肉眼看不到的微小虫子,疥虫的背部有无数横行的波状皱纹,躯干的后半部有几对杆状的刚毛和长鬃,腹部有足四对,躯干后缘中央是肛门。疥虫的腭体很小,位于躯干的前端,一半陷入躯干中,螯肢呈钳形,适宜于食用皮肤的角质蛋白。寄生于人体表皮层内。
疥虫的生活史分为卵、幼虫、若虫、成虫四个阶段。卵呈椭圆形,淡黄色,壳很薄,透亮,常4~6个卵聚集一处,产在雌虫所掘的隧道内。产卵时也排出大便,产卵后,成虫死在隧道盲端。
疥虫幼虫自卵中孵出并生活在隧道内,不久即脱皮变成成虫,雌性若虫与雄性成虫交配后,雌虫即在隧道内产卵,一边排卵一边前进,每天掘隧道向前进0.5~5mm,移行的速度快,虫卵就疏散在隧道内,移行的速度慢,虫卵就密集在隧道内。疥虫的另一个特点是夜行昼伏,由于晚上疥虫的活动增加,皮肤往往瘙痒剧烈。
上文主要为大家介绍了“什么是疥疮”,希望能够对大家及时诊治该病有所帮助,如果还存在疑问,可以联系我院在线专家获得专业的解答。愿您健康!
医院电话:0791-88116677 QQ:77891588 门诊时间: 8:00-17:30(节假日不休)
医院地址:江西省南昌市西湖区站前西路49号、173号
乘车路线:乘坐5路、6路、18路内线、18路外线、26路内环、26路外环、206路、219路长班空调、221路空调、225路长班空调、 230路空调、233长班、233路、305路、305夜、310路、316路到市公交总公司下车即可。
- ★★★★★
- 5.0
- 5.0
- 5.0
- 我要评论






科室一览










